Отделение травматологии и ортопедии

г.Черкассы
Коммунальное учреждение
"Третья Черкасская городская
больница скорой медицинской
помощи" ЧГС
ул. Самийла Кишкы, 210

завідуючий відділенням
(0472) 64-57-57
ординаторська
(0472) 64-24-81
приймальне відділення
(0472) 64-80-04
ми в Facebook
https://www.facebook.com/groups/1716644645273677/
Прохання в заявці запису на прийом вказувати контакний e-mail,
це пришвидшить отримання відповіді
або пишіть на viber: +380505463218 чи електронну пошту відділення traumadepartment@gmail.com

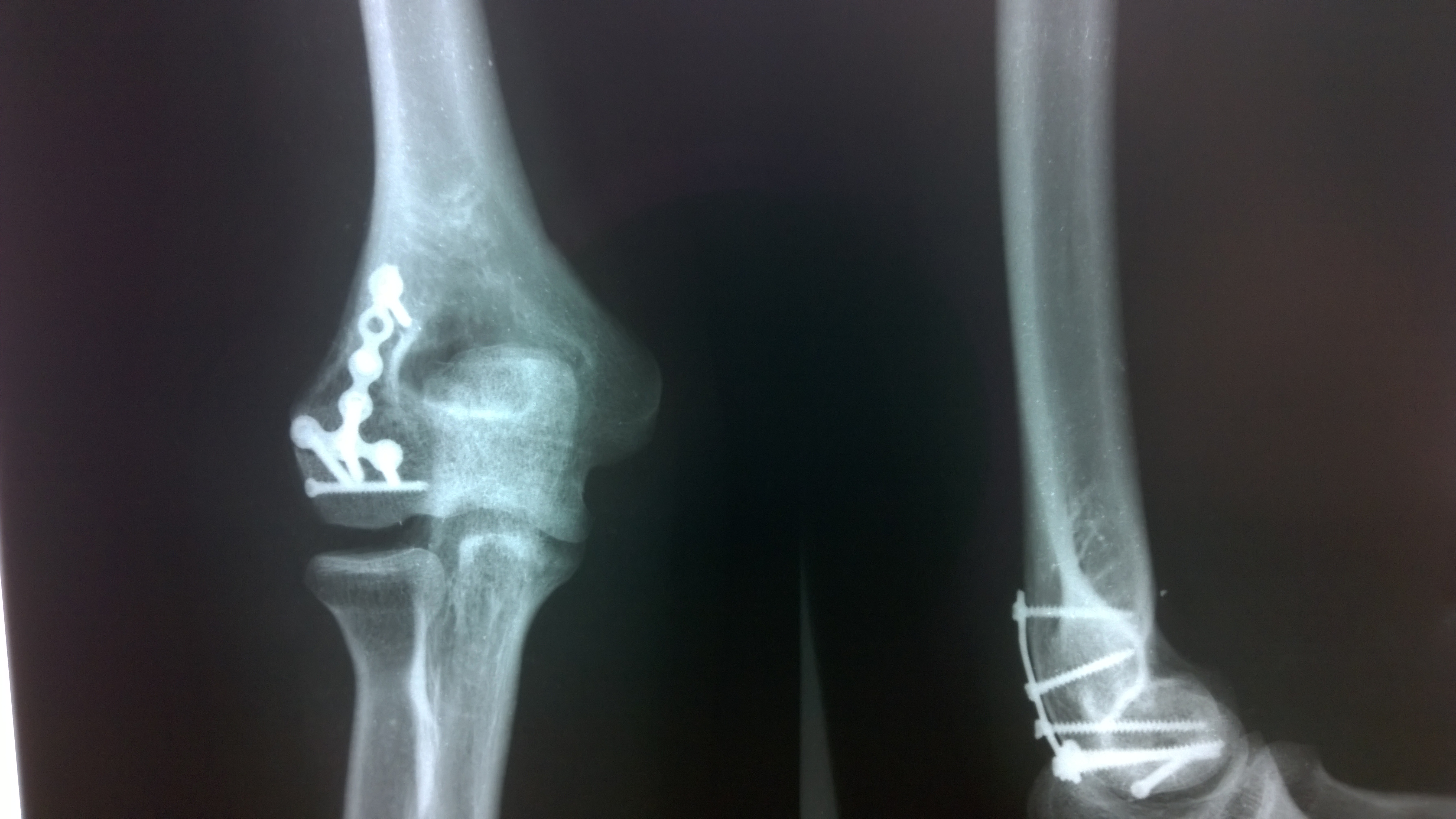
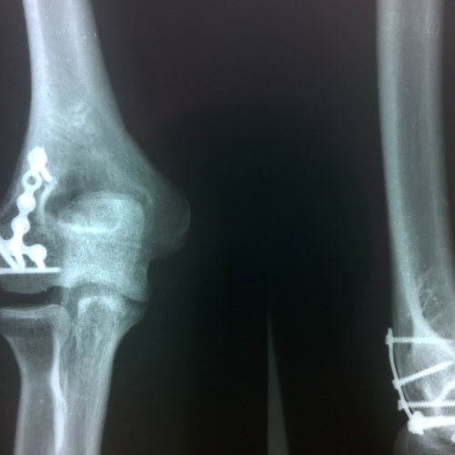
Закрытый перелом мыщелка плечевой кости