Отделение травматологии и ортопедии

г.Черкассы
Коммунальное учреждение
"Третья Черкасская городская
больница скорой медицинской
помощи" ЧГС
ул. Самийла Кишкы, 210

завідуючий відділенням
(0472) 64-57-57
ординаторська
(0472) 64-24-81
приймальне відділення
(0472) 64-80-04
ми в Facebook
https://www.facebook.com/groups/1716644645273677/
Прохання в заявці запису на прийом вказувати контакний e-mail,
це пришвидшить отримання відповіді
або пишіть на viber: +380505463218 чи електронну пошту відділення traumadepartment@gmail.com

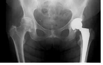
Эндопротезирование тазобедренного сустава

Эндопротезирование тазобедренного сустава

В отделении проводится весь спектр как первичного, так и ревизионного эндопротезирования тазобедренных суставов:

  • однополюсное цементное эндопротезирование системами Austin-Moore (по показаниям);
  • биполярное (DoubleCup) цементное и бесцементное (PressFit) эндопротезирование:
  • первичное тотальное цементное и бесцементное эндопротезирование современными системами Link, Beznoska, Biomet, Mathys;
  • ревизионное эндопротезирование.
  • https://www.youtube.com/watch?v=HRf5vicexyg